I tuoi denti non ti piacciono? Pensi che uno sbiancamento possa risolvere la situazione? Vediamo insieme se tutti i tipi di macchie ai denti si possono effettivamente rimuovere.
L’aumento del benessere generale ha portato un gran numero di pazienti a considerare come “patologico” qualsiasi tipo di inestetismo dentale.
Se fino a non molto tempo fa l’esigenza primaria era tornare a masticare, oggigiorno riveste un ruolo fondamentale anche l’estetica.

“Dottore, vorrei delle faccette perchè i miei denti non mi piacciono”. “Queste macchie andranno via con lo sbiancamento?”.
Questi sono solo due dei più comuni dubbi che vengono quotidianamente chiesti negli studi odontoiatrici.
Ma siamo sicuri che per non vedere più una macchia siano indicate le faccette? Oppure al contrario: lo sbiancamento rimuove tutti i tipi di macchie?
Sfatiamo qualche mito e facciamo un po’ di chiarezza.
Indice:
I nemici dell’estetica: pigmentazioni e discolorazioni
È frequente che nel gergo comune si utilizzi spesso il termine “macchie ai denti”. In realtà si tratta di una accezione piuttosto imprecisa.

Un dente può apparire giallo o scuro per colpa di tartaro, carie o dei residui della famosa “colla dell’apparecchio”, ma in realtà i veri nemici dell’estetica sono le pigmentazioni e le discolorazioni, assai differenti tra loro e ciascuna richiedente un trattamento diverso dall’altra.
Le macchie ai denti estrinseche: le pigmentazioni
Si parla di pigmentazioni quando delle sostanze coloranti di varia natura si fissano allo smalto, passando negli strati superficiali del dente.
I principali responsabili di ciò sono agenti esterni: solitamente cibi, bevande o medicinali. Ecco qualche esempio:
- caffè;
- thè;
- vino rosso;
- liquirizia;
- tabacco;
- medicamenti a base di clorexidina.
Sono quindi macchie estrinseche che possono essere rimosse con uno sbiancamento professionale o addirittura con una semplice detartrasi.
Nonostante ciò, gli agenti sbiancanti non rendono i denti immuni a vita: è comunque necessario limitare le sostanze macchianti in modo tale da evitare una recidiva.

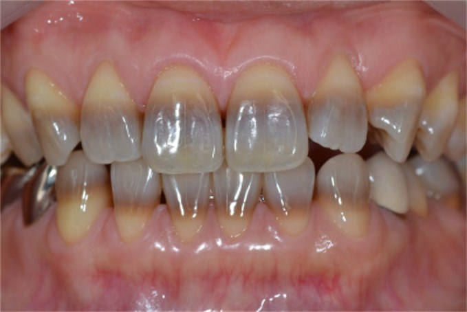
Le macchie ai denti intrinseche: le discolorazioni
.Con il termine discolorazione si intende un cambiamento di colore interno che avviene nel contesto dei tessuti dentari profondi dovuto a sostanze cromoattive. I casi più frequenti di queste macchie ai denti interne sono:
- invecchiamento: i denti si ingrigiscono con l’età;
- difetti strutturali dello smalto: amelogenesis imperfecta;
- difetti strutturali della dentina: dentinogenesis imperfecta;
- eccessiva somministrazione di fluoro (fluorosi);
- traumi dentari e necrosi della polpa;
- malattie del sangue;
- sostanze odontoiatriche come amalgama d’argento o cementi dentali;
- farmaci impropriamente somministrati in gravidanza o in giovane età, come le tetracicline.

Nel contesto delle discolorazioni, lo sbiancamento non è indicato in tutti i casi. Per fare un esempio, nelle macchie ai denti da tetracicline di grado lieve o moderato è possibile utilizzare agenti sbiancanti, mentre in quelle di grado severo sono maggiormente indicate faccette e corone.
Quando fare cosa: l’iter logico da seguire
Alla luce di questa importante classificazione dovrebbe essere decisamente più chiaro il percorso logico da seguire se i tuoi denti appaiono macchiati o ingialliti.
Prima di tutto è opportuno rimuovere a priori tutte le sostanze macchianti che producono pigmentazioni. Via il fumo, il thè, il caffè e il vino rosso, limitandoli il più possibile.

Successivamente occorre recarsi dal proprio odontoiatra il quale stabilirà se le macchie sono di natura intrinseca o estrinseca. Una volta chiarito ciò:
- In caso di pigmentazioni potrebbe essere anche sufficiente una semplice ablazione tartaro o al più uno sbiancamento professionale.
- In caso di discolorazioni si parte dallo sbiancamento nei casi più lievi fino ad arrivare a faccette e corone.
In conclusione, non è detto che tutte le macchie ai denti possano essere rimosse; le faccette non sono la soluzione a tutto e gli sbiancamenti vanno fatti solo quando servono.